奥体孙女士:通过种植牙修复失败烤瓷牙2015-07-28
求美者:孙女士
年龄:34岁
职业:人事主管
牙齿问题:烤瓷牙失败
修复方式:无痛种植牙
以下是南京华美整形美容医院口腔美容中心何静主任的口述记录:
几个月以前,一位家住奥体的孙女士来到华美修复失败的烤瓷牙。她的问题是:边的前面烤瓷冠第四次出现松动,感觉影响吃东西及说话,要求我帮她治疗。

孙女士术前口内照
经过检查发现,她的两颗上门牙做过烤瓷修复,均已松动,牙龈轻度红肿。拍片显示,根管内见部分充填材料及金属螺纹桩的影像,牙周膜增宽,根尖有部分暗影存在,牙槽骨有水平吸收,可以断定为根尖周炎。询问患者,得知前些年做烤瓷牙时未做根管治疗。由此可以断定:根尖周炎是因为前次烤瓷修复时,未作根管治疗引起的。
现在,牙根已经松动,无法用桩冠修复,因此建议拔掉,做种植牙或者桥冠修复。在得知做桥冠修复需要磨邻牙之后,患者决定采用种植义齿修复。在充分了解价位、材料和手术方法之后,患者签订了种植协议。
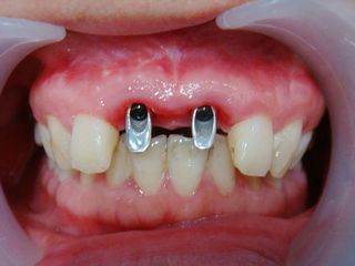
孙女士手术全过程

孙女士取模前口内照
用0.1%和0.5%聚维酮碘液消*口内及口周,在4%阿替卡因肾上腺素液3.4ml局部浸润麻醉显效后,切开牙龈,剥离,术中见右上中切牙根尖处骨质破坏严重,拔除患牙。级差备洞,植入费亚丹XIVE种植体两颗,均为3.8*11mm,上好愈合基台,右上中切牙用羟基磷灰石生物陶瓷0.2g充填唇侧骨缺损区,盖好胶原膜,拉拢,牙龈对位缝合九针,消*纱布块横置创口上,紧咬,压迫止血。
术后经过一段时间的愈合之后,取模,加工,修复。效果很理想,患者也觉得种植牙感觉起来比普通牙齿更加稳固、漂亮。

孙女士修复后口内照
这个手术是拔牙后立即种植,十分快捷,这也是种植牙区别于其他修复方式的一大优势。
孙女士采用的是德国Friadent(费亚丹)种植系统,那为什么要推荐费亚丹呢?
费亚丹种植系统在所有的骨质中均具有良好的稳定性,在某些骨量轻微不足的病例中甚至可以避免进行植骨。Friadent微锥柱状螺纹种植体的设计,有利于提高初期稳定性和具有良好的抗旋转性,是单牙修复的极佳选择;具有良好的即刻负重能力,这种独特的即刻负重优势,极大地缩短了种植及修复时间,适应现代快捷族的生活,满足上班族“术后第二天上班”的需求。
- 上一篇:下关胡女士:种植牙修复松动的假牙
- 下一篇:为生命添活力—蔡老先生种牙案例




